annons
Löpning Skador & Rehab 14 inlägg 11084 visningar

Fraktur på metatarsalbenet

Mike Lourey
1980 • Stockholm
#1
10 oktober 2018 - 22:39
Gilla
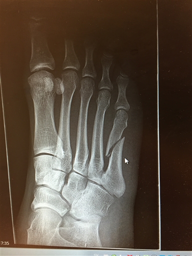
Bild uppladdad av Mike Lourey
Hej,
I helgen var olyckan framme då jag hoppade studsmatta på Turbo i Uppsala. Landade lite fel i ett hopp och knäckte femte metatarsalbenet. Benet är helt av ungefär halvvägs, med ett snett brott.

Som det är nu är det gips i minst 4 veckor. Reponeringen blev inte helt bra enligt akutläkaren, men blev uppringd av en ortoped idag som tycke att det såg bra ut så operation är inte aktuellt i dagsläget. Bilden visar brottet före gips/reponering, har ingen bild hur det blev efteråt.

Allt får ta sin tid såklart, och jag kommer följa ortopedens rekommendationer gällande när jag kan börja träna löpning igen. Jag är bara nyfiken på hur det har varit för andra med liknande frakturer. Man har ju inte så mycket att göra när man bara är hemma...

Hur var ert brott?
Hur länge behövde ni hålla upp från löpning?
Har ni några känningar kvar idag?

#2
20 juni 2021 kl 09:25
Gilla
Hejsan. Ådrog mig precis samma fraktur när jag spelade innebandy nu i våras. Hur har din fraktur läkt?
Vicky Karlsson
1957 • Rindö
#3
21 juni 2021 kl 13:15
1 Gilla
#2
Jag är inte trådstartaren men har samma skada just nu som jag ådrog mig den 22 mars. Tyvärr verkar det inte helt ovanligt att dessa skador tar god tid på sig att läka.
Jag kan ännu inte stödja obehindrat på min skadade fot, max 1,5 km promenad i långsamt tempo har jag kommit till nu.
Har fått göra både magnetröntgen samt skiktröntgen och fått utlåtandet; Partiell läkning, alltså inte läkt ännu efter tre hela månader.
Enligt läkarna så är det helt normalt att det drar ut så på tiden. Läst mig till på nätet att de som fått operera har haft snabbare läkning.

Tränar mycket cykel, roddmaskin och lite crosstrainer samt övriga kroppen på gymmet. Gett upp alla planer på återkomst till löning snabbt. Hoppas på come back efter sommaren men ser alltså till att vara i god form på annat sätt.
#4
22 juni 2021 kl 13:16
Gilla
Vilken behandling har du haft? Förstår att du ej har opererats, men gipsade de foten på dig eller?
Vicky Karlsson
1957 • Rindö
#5
24 juni 2021 kl 17:22
Gilla
#4
Jag har haft en plastsko (aircast) i ett par månader och utöver det ingen behandling de första 6-7 veckorna. Sedan fysioterapeut och olika röntgen för att kolla hur det ser ut.
Går hos fysioterapeut regelbundet och tränar ihärdigt. Ska återkomma till läkaren efter semestern för att stämma av att det läker som det ska, om än långsamt.
annons
#6
24 juni 2021 kl 18:41
Gilla
Ok, ja dessa frakturer har dock en benägenhet att läka långsamt. Lite undrande bara över att du inte gipsades.
Vicky Karlsson
1957 • Rindö
#7
25 juni 2021 kl 14:40
Gilla
#6
Läkaren var i valet och kvalet. Frågade till och med mig vilket jag ville. Jag valde aircasten och kanske var det felval. Har varit till annan läkare efter för kontroll då det inte verkade läka och han ogillar aircasts och väljer alltid gips.
#8
27 juni 2021 kl 08:06
Gilla
Ja en operation är ju att föredra. Vad jag har kunnat läsa mig till på nätet handlar valet angående operation om var på benet brottet sitter. Var sitter ditt brott, är det mitt på eller på sidorna?
Vicky Karlsson
1957 • Rindö
#9
27 juni 2021 kl 11:05
Gilla
#8
Brottet är tvärs över, längst ner, alltså längst bort från tårna sett.
#10
26 juli 2021 kl 19:05
Gilla
Hur går det med läkningen?
annons
Vicky Karlsson
1957 • Rindö
#11
26 juli 2021 kl 21:44
Gilla
Det går åt rätt håll. Jag kan promenera en del men hela foten är ju ur form så får ta det försiktigt. Förutom själva frakturen så fick senorna sig lite törnar också så det tar tid att stärka upp allt igen.
Hoppas på löpning framåt september och hoppas att jag inte får problem då.
#12
27 juli 2021 kl 07:44
Gilla
Ok, skönt att höra. Så det blev ingen gipsning?
Vicky Karlsson
1957 • Rindö
#13
30 juli 2021 kl 09:17
Gilla
Nej, ingen gipsning blev det. Hade kanske gått fortare över då men glad att det fungerar att gå nu iallafall och har testat en minut spring här och där :-).
#14
30 juli 2021 kl 14:35
1 Gilla
Fasiken så skönt, jag hade gips och det är fasiken ingen höjdare.
Endast registrerade medlemmar kan posta inlägg till forumet. Registrera dig här eller logga in ovan.
annons